
Five years ago, a Chinese baby girl was born carrying two foetuses in her belly, an event so rare that a medical journal has devoted an entire article to documenting it.
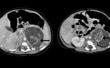
First thought to be a tumour, when doctors cut open the mass they found two tiny little humans complete with arms and legs, bones, brains, and underdeveloped organs.
• Sydney Uni unveils ‘gigantic bag of skin’
• Artist’s own ‘dead’ body shocks gallery-goers
• Very rare megamouth shark washes ashore
The dead foetuses were removed to help the three-week old baby girl survive, which she did.
Many media outlets have reported that the girl was pregnant, which is incorrect. The little girl’s siblings, genders unknown, were thought to have grown into her body while the three of them grew in their mother’s womb.
At least, that is what her treating doctors believe. A more popular theory says that these kinds of growths are actually cancerous tumours, called teratomas, that are clones of the baby itself.
If these were indeed the baby’s brothers and/or sisters, it would be an example of a very rare condition known as ‘foetus-in-fetu’, which has been reported only 200 times in medical literature, the report in the Hong Kong Medical Journal said.
The World Health Organisation (WHO) does not recognise the theory that babies can carry their siblings, opting for the tumour explanation instead.








