

Researchers have found “significant abnormalities” in the eyes of some people with severe COVID-19, according to a small study.
It’s been widely reported that the novel coronavirus, which primarily attacks the lungs, has been associated with eye problems such as conjunctivitis and retinopathy.
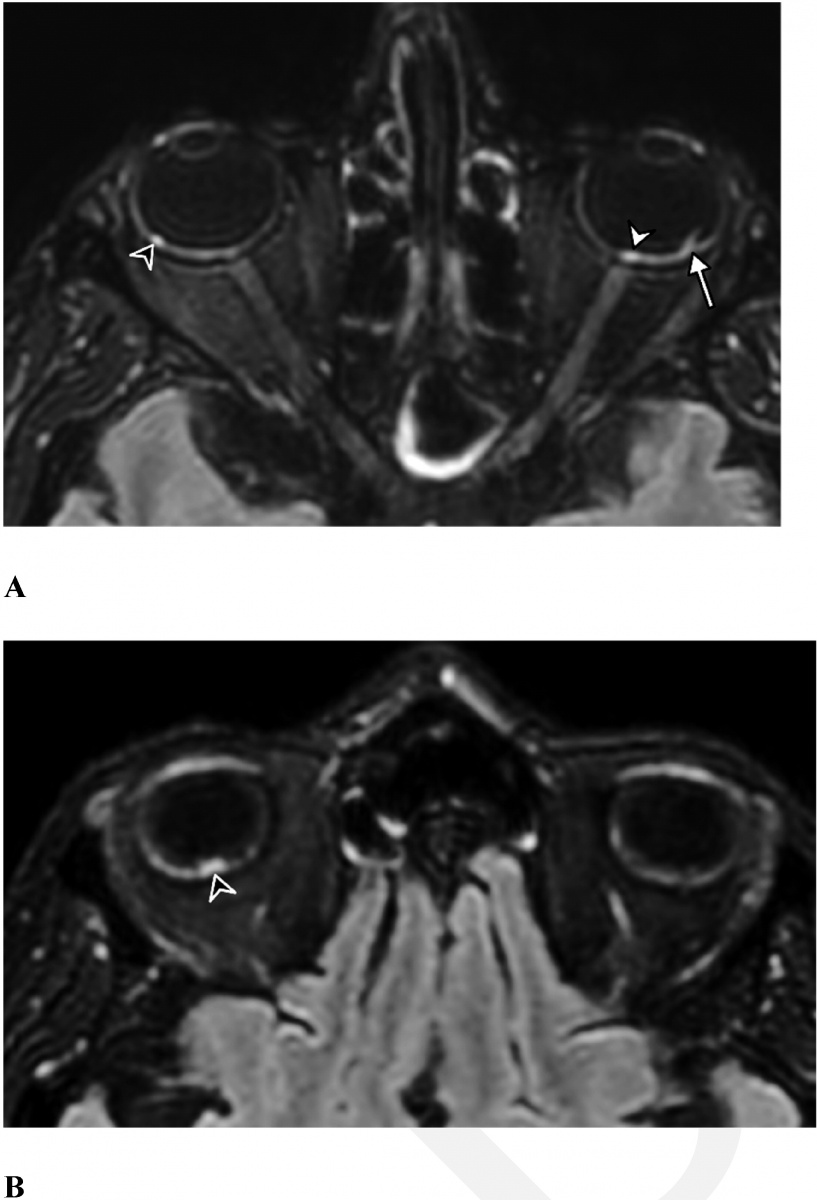
But there were also reports that “eye abnormalities were visible on MRI exams” at the back of the eye, but little was known about their nature or frequency.
A team of scientists and doctors from the Rothschild Foundation Hospital in Paris decided to solve the mystery.
How did they go about it?
According to a statement from the Radiological Society of North America, which published the study:
- The researchers investigated 129 patients with severe COVID-19 using Magnetic Resonance Imaging (MRI).
- Nine of these patients (a statistically significant seven per cent) had abnormal MRI findings of the globe, or eyeball.
- All nine patients had nodules in the macular region and eight had nodules in both eyes.
- Eight of the nine patients had spent time in the intensive care unit (ICU) for COVID-19.
That the “potentially dangerous” nodules were found in the macula, part of the retina at the back of the eye, is especially concerning. It is about 5mm across but is responsible for our central vision, most of our colour vision and the fine detail of what we see.

““This is the first time these findings have been described using MRI,” said study lead author Dr Augustin Lecler, associate professor at the University of Paris.
What happens next?
The mechanism behind the nodule formation “remains unknown, although it could be related to inflammation triggered by the virus.”
Dr Lecler suggested that inadequate drainage of the veins of the eyes, a problem found in patients who spend time in the ICU in the prone position or intubated, may also be a factor.
Seven of the nine patients with eye abnormalities in the study had been placed in a prone position in the ICU for an extended time.
The researchers are performing follow-up clinical and MRI examinations in surviving participants to monitor the nodules and see if they carry any clinical consequences such as vision loss or visual field impairment.
They are also performing MRI examinations in new patients with severe COVID-19 from the second and third waves of the pandemic, using more comprehensive ophthalmological tests to correlate with the MRI results.
The effects on patients with moderate COVID-19 are currently under investigation.
“We have launched a prospective study with dedicated high-resolution MR images for exploring the eye and orbit in patients with light to moderate COVID,” Dr. Lecler said.
“Therefore, we will be able to know whether our findings were specific to severe COVID patients or not.”
Covid-19 survivors encouraged to get their eyes tested
Dr Lecler said the results suggest “that screening should be considered in all patients with severe COVID-19 to detect these nodules.”
In clinical practice, this screening could include “dedicated exploration” of the eyes with high-resolution MRI.
Additional recommended exams include fundoscopy, which uses a magnifying lens and a light to check the back of the inside of the eye, and optical coherence tomography, a non-invasive test that provides a 3D picture of the structure of the eye.
Dr. Lecler noted that severe eye problems might largely go unnoticed in the clinic, as COVID-19 patients hospitalized in the ICU are often being treated for much more severe, life-threatening conditions.
“Our study advocates for screening of all patients hospitalized in the ICU for severe COVID-19,” Dr. Lecler said. “We believe those patients should receive specific eye-protective treatments.”
The findings further demonstrate that COVID-19 wreaks greater havoc on patients with existing health problems, particularly those with issues related to being overweight. Of the nine patients with eye nodules, two had diabetes, six were obese and two had hypertension.








